Занесенная ветром: детская болезнь со взрослым характером
04 марта 2026
Занесенная ветром: детская болезнь со взрослым характером
- 298
- 0
- 0
Картина И.Н. Крамского «Неизвестная». Слева изображены 3D-модели частиц вируса ветряной оспы Varicella zoster, полученные с помощью криоэлектронной микроскопии [1].
Рисунок в полном размере.
коллаж автора
-
Автор
-
Редакторы
Статья на конкурс «Био/Мол/Текст»: Легкая, как дуновение ветра, одновременно коварная, непредсказуемая и очень заразная вирусная болезнь, таинственная незнакомка, которая встречается многим, но до сих пор остается загадкой для мира. Все это о ветрянке. Несмотря на то, что большинству людей приходилось сталкиваться с этим заболеванием еще в детстве, далеко не каждый сможет с весельем вспомнить «цветные» будни с флаконами зеленки. Зудящая сыпь, лихорадка, стоит ли перечислять все эти неприятные симптомы? В ветряночной лотерее везет далеко не всем, в особенности, когда у человека имеются сторонние заболевания. Некоторых пациентов болезнь и вовсе настигает уже в зрелом возрасте в крайне тяжелой форме, с рисками для жизни. Непредсказуемое течение болезни, возможные серьезные осложнения после выздоровления, а также отсутствие лекарств делают ветряную оспу опасным и почти что непобедимым врагом человечества. Возможно ли избежать заражения и какие перспективы есть у человечества в многолетней борьбе с невидимым вирусом? Давайте попытаемся разобраться, как обстоят дела сегодня.
Конкурс «Био/Мол/Текст»-2025/2026
Эта работа опубликована в номинации «Свободная тема» конкурса «Био/Мол/Текст»-2025/2026.
Генеральный партнер конкурса — международная инновационная биотехнологическая компания BIOCAD.
Партнер номинации — компания SkyGen: передовой дистрибьютор продукции для life science на российском рынке.
«Книжный» спонсор конкурса — «Альпина нон-фикшн»
Таинственная незнакомка
Ветряная оспа (или, по-простому, ветрянка), как необузданная стихия, быстро и незаметно распространяется среди людей. Повстречав ее однажды на своем пути, избежать заражения уже не удастся. Да и кто не знает ветрянки? Ее характерный признак — появление зудящей сыпи в виде мелких пузырьков (везикул), наполненных жидкостью (рис. 1). Обычно протекание болезни сопровождается симптомами лихорадки и общего «отравления» организма (интоксикации). Лечением такого состояния становится прием жаропонижающих, что не всегда желательно. Так, например, препараты ацетилсалициловой кислоты по типу аспирина могут спровоцировать развитие невоспалительного заболевания головного мозга и печени у детей и подростков. А ибупрофен и вовсе усугубляет характер высыпаний, из-за чего существенно возрастают риски бактериальных кожных инфекций.
Наряду с устранением симптомов лихорадки, не будем забывать о боевом раскрасе зеленкой или другими подсушивающими средствами, чтобы пузырьки быстрее покрылись корочками. В общей сложности, сыпь сохраняется в течение 5–7 дней, после чего за пару недель проходит совсем.
Рисунок 1. Типичные для ветрянки высыпания в виде мелких пузырьков.
Ветряная оспа возникает повсеместно и занимает лидирующие позиции среди инфекционных вирусных заболеваний, наряду с гриппом и ОРВИ. Чаще всего в странах с умеренным климатом ветрянка буйствует зимой и весной, а массовые вспышки болезни происходят в течение каждых 2–5 лет. Согласно оценкам ВОЗ, ежегодный показатель заболеваемости колеблется в пределах 140 млн случаев по всему миру, из которых 4,2 млн связаны с развитием тяжелых форм осложнений, в том числе — 4200 летальных исходов [2–4]. В нашей стране только за 2024 год зафиксировано свыше 830 тысяч случаев заболевания среди населения. Из-за непредсказуемого и неуправляемого характера инфекции ветряная оспа сегодня представляет немалую угрозу общественному здравоохранению.
Так было и раньше. Страницы истории до сих пор хранят память о таинственной незнакомке, которую долгие годы с большим успехом относили к натуральной оспе [5]. Однако протекала коварная болезнь несколько странно: высыпания испещряли все туловище, а не только лицо (характерный маркер оспы), а после нескольких дней лихорадки и вовсе сходили на нет. За неимением четких доказательств, вопрос о странной болезни продолжал висеть в воздухе.
Поражения при ветряной оспе были впервые описаны персидским ученым Разесом (865–925), а затем итальянским врачом Джованни Филиппо (1510–1580) [6]. Несмотря на это, только в XVIII веке врачи пришли к выводу, что натуральная и ветряная оспа — разные заболевания. Пролил свет на индивидуальность ветрянки в 1767 году британский врач Уильям Геберден (рис. 2): в своей статье On the Chicken-Pox он привел сравнительную характеристику клинических симптомов ветряной и натуральной оспы, тем самым выявив ключевые различия между ними [7].
Рисунок 2. Слева — фрагмент статьи Уильяма Гебердена On the Chicken-pox, по центру — портрет самого врача. На заднем плане — репродукция литографии с изображением домашних кур, ориентировочно 1890-е гг.
коллаж автора по vaxopedia.org, Wikipedia, medium.com
Интересно, что в средневековой Англии ветрянку величали varicella — маленькая оспа, искаженное уменьшительное латинское слово от variola (оспа). Однако позже она упоминается не иначе как chickenpox, или куриная оспа. Это название предложено английским врачом Ричардом Мортоном (1637–1698), который, как думают современники, таким образом стремился подчеркнуть более легкий характер течения ветряной оспы по сравнению с натуральной. Тем не менее, предположений, почему именно куры стали камнем преткновения ветрянки, достаточно много, а сам по себе куриный след — до сих пор загадка. По одной из версий, у птиц наблюдалось схожее по клинической картине заболевание. Другую версию можно смело описать знаменитой цитатой из детского стишка: «Пришли куры — поклевали, поклевали!». Согласно предположению британского врача Томаса Фуллера (1654–1734), шрамы после перенесенной ветряной оспы выглядели так, как если бы «ребенка поклевали цыплята» [12]. А некоторые ученые и вовсе полагали, что волдыри на коже напоминали нут (по-английски — chickpeas). Отсюда и название, а куры ни при чем! Несмотря на это, термин прочно вошел в медицинскую практику, в связи с чем и по сей день широко используется как в профессиональном поле, так и в повседневной жизни (рис. 3).
Рисунок 3. Карикатуры на тему ветряной оспы.
В русском языке все куда проще: название ветрянки как бы само по себе намекает на основной путь передачи инфекции. Действительно, приобрести ветряную оспу можно, когда больной кашляет или чихает, выделяя инфицированные капли в воздух, а также при непосредственном контакте с жидкостью из пузырьков на коже. Заразность ветрянки очень высока и колеблется в пределах от 90 до 99% [2]. При всем желании уйти от болезни не так-то уж просто!
Сыпь появляется не сразу после заражения, о чем мы поговорим немного позже. От первого контакта с инфекцией до ее клинического проявления может пройти в среднем 2–3 недели. Человек без внешних признаков болезни становится коварным разносчиком инфекции за 1–2 дня до появления сыпи и до тех пор, пока все очаги поражения на коже не покроются коркой [2]. Казалось бы, пока что с ветрянкой все просто и ясно. Вот только под маской таинственной незнакомки скрывается очень интересный вирус.
Маленький, да удаленький!
Виновник ветряночного торжества — крошка-вирус Varicella zoster (его второе имя — герпесвирус человека 3 типа), относящийся к семейству вирусов герпеса, подсемейству альфа-герпесвирусов [2]. Кстати, ближайшие родственники патогена — вирусы простого герпеса 1 и 2, те самые, которые вызывают «простуду» на губах. Их общими чертами являются очень короткий цикл размножения, быстрое заражение клеток-хозяина и повышенная «симпатия» к клеткам нервной системы (сенсорным ганглиям) с возможностью длительного пребывания в них. Но, в отличие от своих собратьев, вирус ветряной оспы имеет ограниченный спектр хозяев, вернее, одного единственного — человека. Эта любовь началась очень давно, по приблизительным оценкам, 70 тысяч лет назад. Рандеву вируса и человека произошло еще в Африке, на родине патогена [8]. Возбудитель ветряной оспы настолько приобщился к тогдашним предкам человека, что вместе с ними за компанию решил переселяться на другие континенты.
Впервые выделить вирус ветряной оспы удалось только в 1954 году американскому вирусологу Томасу Уэллеру (рис. 4), который в тот же год стал лауреатом Нобелевской премии по физиологии совместно с Джоном Эндерсом и Фредериком Роббинсом [2]. Правда, за заслуги в изучении другого вируса — «за открытие способности вируса полиомиелита расти в культурах различных тканей» [9]. В своих экспериментах по исследованию свойств вируса ветряной оспы ученый сумел не только выделить патогена из жидкости в ветряночных пузырьках, но и разработал диагностические тесты для удобства обнаружения инфекции. Параллельно с этим он изучал возбудителя другого неприятного заболевания — опоясывающего лишая. Результатом его трудов стало доказательство идентичности выделенных вирусных частиц. Другими словами, забегая немножко вперед, было установлено, что вирус ветряной оспы способен вызывать оба этих заболевания.
Рисунок 4. Томас Хакл Уэллер, американский врач, вирусолог.
Частицы вируса (вирионы) имеют сферическую форму и достигают в диаметре 150–200 нм [1], [10]. Но если начать распаковку таких частиц, можно обнаружить весьма сложную многослойную конфигурацию, основное назначение которой — защитить генетический материал вируса в виде двуцепочечной молекулы ДНК (рис. 5) [11], [12]. Ее окружает сперва защитная белковая оболочка (нуклеокапсид в форме 20-гранника), затем слой белков и ферментов (тегумент) для обеспечения репликации ДНК в клетке-хозяина, а после — внешняя липидная оболочка (суперкапсид), которая содержит гликопротеины для лучшего прилипания к клеткам-хозяина и обеспечения заражения [10].
Из всех известных человечеству вирусов герпеса наш герой — самый маленький, размер его генома составляет всего лишь 125 тысяч пар нуклеотидов [10]. В геноме вируса спрятана по меньшей мере 71 открытая рамка считывания (Open Reading Frame, ORF) — это такие последовательности нуклеотидов, которые выступают как платформы для трансляции вирусных белков при репликации (размножении). Руководствуясь принципом «чем больше — тем лучше», вирус ветряной оспы весьма успешно задействует все свои ORF для синтеза белков и более быстрого порабощения организма хозяина.
В ходе размножения вируса продуцируются 12 белков, в частности — gB, gC, gE, gH, gL и т.д., что в очередной раз подтверждает тесную взаимосвязь с вирусами простого герпеса [10]. Впрочем, в отличие от них, крохотный вирус ветряной оспы не способен продуцировать гликопротеин gD. Вероятнее всего, поэтому его вирионы менее устойчивы в окружающей среде. Вирус легко инактивируется при температурах свыше 60 oC, под воздействием ультрафиолетового облучения и ультразвука. А вне клетки-хозяина и вовсе теряет активность в течение суток [2].
Еще одной «фишкой» вируса ветряной оспы становится синтез гликопротеина E (gE) в очень больших количествах. Именно этот белок впоследствии поможет вирусу в процессе заражения Т-клеток. По сравнению со своими собратьями-вирусами герпеса, вирус ветряной оспы научился продуцировать белок gE по-особому. В структуре гликопротеина спрятан N-концевой фрагмент из аминокислот (с 1-ой по 188-ую), в котором присутствуют специальные аминокислотные остатки (51–187), позволяющие вирусу вторично «обволакивать» Т-клетки и инфицировать их [10], [13], [14]. Между прочим, из-за этой особенности белок gE становится мишенью для вируснейтрализующих антител, которые наш организм вырабатывает для защиты.
Атака и оборона: как происходит заражение
Процесс атаки нашего организма вирусом ветряной оспы до сих пор не изучен полностью. Все потому, что патоген практически не способен заражать другие виды. А значит, и смоделировать условия для исследования нехорошего поведения вируса крайне сложно (лабораторные крысы, обезьяны и прочие животные, надо признаться, не подойдут, как бы ученым этого ни хотелось).
В общем смысле заражение начинается с непосредственного попадания вирусных частиц на слизистые оболочки дыхательных путей (рис. 6). Специалисты так и не пришли к единому мнению: через прямое слияние вирусных частиц с плазматической мембраной или эндоцитоз (захват вирусных частиц мембраной клетки-хозяина). Так или иначе, оттуда вирус мигрирует в лимфоидное кольцо Вальдейера (это такое скопление миндалин в области носоглотки), где начинает активно размножаться в течение 2–4 дней [10].
Рисунок 6. Общая схема заражения организма человека вирусом ветряной оспы.
Когда вирусных частиц становится достаточно много, они постепенно попадают в кровоток, инфицируют Т-лимфоциты CD4+ и CD8+ (процесс виремии) и специальным образом перепрограммируют их. Такая модификация приводит, например, к повышенной экспрессии маркеров активации специальных белков (CLA — кожного лейкоцитарного антигена, CCR4 — рецептора СС-хемокина 4) у CD4+ лимфоцитов, что очень помогает вирусу без особых препятствий проникать в ткани и органы, в особенности — в клетки эпидермиса (кератиноциты) [15]. Там же происходит слияние зараженных клеток в многоядерную структуру — синцитий (рис. 7). Подобным образом частицы вируса защищают себя от негативного воздействия извне, а именно — от антител, которые наш организм отчаянно продуцирует в ответ на инфекцию [13], [16].
Когда инфицированные Т-клетки мигрируют по кровеносной системе, как курьеры доставки, до органов и тканей, начинается массовое заражение. До этого момента наш организм упорно вступает в поединок с вирусом посредством врожденного иммунитета. Благодаря повышенной выработке интерферона α — специального белка-защитника от вирусной инфекции, замедляется репликация вирусных частиц. Этим, кстати, объясняется длительный инкубационный период ветрянки — от двух до трех недель [10].
Рисунок 7. Микрофотографии монослоя клеток, инфицированных in vitro вирусом ветряной оспы. (а) — клетки через 72 часа после заражения. Стрелкой обозначено слияние клеток (синцитий). (б) — монослой инфицированных клеток через 96 часов после заражения. Вирусные частицы (обозначены стрелками) заключены в цитоплазматические пузырьки, которые перемещаются к внешней клеточной мембране и соединяются с ней.
Однако барьер под названием «врожденный иммунитет» постепенно слабеет и в какой-то момент рушится, что приводит к высвобождению вирусных частиц из кератиноцитов. И на коже человека появляется характерная для ветрянки сыпь, везикулярные пузырьки, наполненные жидкостью с очень высокой концентрацией вирусных частиц. Через 4 дня с момента появления сыпи начинают вырабатываться специфические антитела IgM и IgG, количество которых по мере протекания болезни быстро увеличивается. По прошествии месяца после первичной инфекции численность IgM заметно снижается [13], а концентрация IgG, напротив, сохраняется. В результате после перенесенного заболевания, как правило, формируется пожизненный адаптивный иммунитет. То есть, ветрянкой можно заболеть лишь однажды. Вторичные эпизоды ветряной оспы возможны, однако встречаются крайне редко [2].
Тем не менее, на этом вирусная эпопея ветрянки не заканчивается. При попадании в клетки кожи вирус поражает окончания сенсорных ганглиев — чувствительных скоплений нервных клеток (рис. 6). Затем частицы патогена перемещаются к телам нейронов по аксонам посредством ретроградного транспорта (перемещение извне к телу нервной клетки) [17]. Вирусу настолько нравится жить в организме человека, что, недолго думая, он остается внутри насовсем и переходит в латентное состояние, чтобы попусту не тратить свою энергию и ресурсы. Какие механизмы способствуют этой латентности, ученым еще предстоит выяснить. У некоторых людей такая «спячка» вируса рано или поздно заканчивается. Например, когда защита организма-хозяина постепенно начнет падать, а именно — когда специфичные к вирусу Т-клетки потеряют способность к пролиферации (размножению путем деления). Такие процессы произойдут вне зависимости от желания человека: из-за старения (обычно в возрасте от 50 лет и старше), высокого уровня стресса или наличия неприятных сопутствующих заболеваний (сахарного диабета 2-го типа и пр.). Другими словами, на фоне ослабления организма хозяина вирус ощущает прилив сил и приобретает второе дыхание. Этот процесс называют реактивацией. Частицы вируса из нервных клеток перемещаются обратно к клеткам кожи с помощью антероградного транспорта (то есть от тела нервной клетки до аксонных окончаний). В результате патоген вызывает другое заболевание — опоясывающий герпес (или опоясывающий лишай). По сравнению с ветрянкой, это менее заразная болезнь, что объясняет сниженные риски неконтролируемого распространения опоясывающего лишая среди восприимчивых лиц. Основным признаком нового перформанса вируса ветряной оспы становится опять же сыпь, но в несколько иной форме. На дерматомах — участках кожи, получающих импульсы от поврежденных вирусом нервных окончаний, появляются локализированные высыпания в виде полосы, отсюда и название заболевания. Неприятным последствием очередного вирусного буйства становится постгерпетическая невралгия — длительный болевой синдром, сохраняющийся в течении 3 и более месяцев в местах первоначального поражения кожи сыпью.
Получается, что вирус ветряной оспы так просто не сдается! Большое количество нейтрализующих антител (тех самых IgG, которые встают на оборону иммунитета от ветрянки), к сожалению, не защищает организм пациента от реактивации вируса и развития опоясывающего герпеса [18]. Коварный патоген все равно нашел способ обойти систему, тем самым бросив очередной вызов научному и медицинскому сообществу.
Как распознать ветрянку?
Самым главным признаком болезни является характерная сыпь, которая сначала появляется на голове и лице, а позже распространяется по всему туловищу. Этим, на первый взгляд, можно было бы и ограничиться. Но не всегда. В сомнительных случаях, например, у пациентов с иммунодефицитами, болезнь может иметь атипичные формы проявления (с нагноением кожных пузырьков, кровоизлияниями, язвами и пр.) [19]. Поэтому на помощь врачам приходит лабораторная диагностика. Наиболее информативным и точным методом, согласно рекомендациям ВОЗ, является ПЦР, который позволяет обнаружить вирусную ДНК [20]. Для анализа необходимо лишь отобрать жидкость из везикулярных пузырьков. При этом использование соскобов со слизистых носоглотки и ротоглотки, бронхиальных смывов, а также спинномозговой жидкости является нежелательным вследствие меньшей информативности и возможных ложноотрицательных результатов.
Вы спросите: «А почему бы просто не взять кровь на антитела? Ведь после ветрянки формируется иммунитет». Разумеется, вот только вирус ветряной оспы — та еще хитрюга! Анализ на антитела к ветряной оспе не позволяет достоверно отличить первичную инфекцию от возможного повторного заражения и/или от реактивации латентного вируса [21]. Чтобы внести хоть какую-то ясность, Центр по контролю и профилактике заболеваний США (Centers for Disease Control and Prevention, CDC) рекомендует дважды исследовать сыворотку крови — первую взять в острой фазе болезни, вторую — уже на этапе выздоровления. Если будут обнаружены антитела класса М (IgM), а также четырехкратное и более увеличение титра IgG в двух сыворотках, то такой случай можно с высокой долей вероятности отнести к ветряной оспе [21]. При этом мониторинг уровня антител только класса IgG является, как правило, бесполезным, потому что их наличие не может рассматриваться в качестве специфичного маркера.
Переболел и забыл?
Долгое время в общественности бытовало, да и до сих пор бытует мнение о том, что ветрянка — исключительно детская болезнь. Ну помазался зеленкой, что ж тут такого! Действительно, в этом есть своя доля правды: наибольшая распространенность заболевания наблюдается у детей в возрасте от 4 до 10 лет, то есть около 90% населения планеты к подростковому возрасту успевают переболеть ветрянкой. Например, в Европе максимальное число заболевших наблюдается среди детей до 5 лет и оценивается в пределах от 7052 до 17 974 случаев на 100 тысяч населения [22]. В Японии ситуация с детской заболеваемостью аналогична. В 2025 году там зафиксирована масштабная вспышка ветрянки за последние 5 лет — 22 507 случаев заболевания, большая часть которых (50,9%) наблюдалась у детей от 5 до 9 лет.
Однако некоторых людей в детском возрасте болезнь по неясным причинам обходит стороной. То ли не успевает проникнуть в организм, то ли человек вовремя не контактирует с зараженными. А в последнее время в странах умеренного климата и вовсе отмечается следующая тенденция: ветрянка «взрослеет» не по дням, а по часам. В России, например, в 2024 году число заболевших взрослых увеличилось на 23% по сравнению с 2023 годом. По мнению специалистов, в ближайшие годы следует ожидать очередного подъема заболеваемости ветряной оспой, что связано с накоплением неиммунных к вирусу лиц в период пандемии коронавируса.
Есть у ветрянки еще одна интересная особенность: в странах с тропическим климатом заболевание распространено преимущественно среди подростков и людей среднего возраста. Так на Шри-Ланке ветряная оспа встречается у подростков 14–15 лет [21]. В Сингапуре 90% лиц переносят болезнь в возрасте от 35 лет, в Малайзии — старше 30 лет, в Таиланде — старше 40 лет [23]. «Взросление» ветрянки происходит из-за особенностей климата: вирус ветряной оспы теряет свою активность под воздействием повышенных температур и влажности, которые являются характерными для тропической климатической полосы [21]. И все бы ничего, только с возрастом ухудшается восприимчивость нашего организма к инфекции — болезнь переносится крайне плохо! Согласно данным исследований, риски тяжелого течения заболевания у таких пациентов увеличиваются в 25 раз по сравнению с детьми [24]. Не говоря уже о том, что борьба иммунитета с инфекцией может закончиться смертью человека.
На фоне суровой действительности многие полагают, что ветрянкой обязательно надо переболеть в детстве, ведь после выздоровления формируется стойкий пожизненный иммунитет. Поэтому родители организуют своим детям «ветряночные вечеринки»: к заболевшему ребенку в гости приводят других детей для обмена инфекцией (рис. 8). Будто ветряная оспа в образе Мефистофеля знакомится с подрастающим поколением как «часть той силы, что вечно хочет зла и вечно совершает благо». На первый взгляд, с удобством и пользой для всех.
Рисунок 8. Ветряночная вечеринка в мультсериале «Симпсоны».
Приготовьтесь разочароваться! Мало того, ветрянка переносится всеми по-разному, так еще и вирус остается в организме на всю жизнь. А если принять во внимание тот факт, что ветряная оспа, как и любая другая болезнь, может иметь неприятные последствия для здоровья, ходить на такие вечеринки не слишком-то сильно захочется! Возможными осложнениями после перенесенного заболевания являются пневмония, бронхит, отиты, энцефалит (воспаление тканей головного мозга, одно из самых частых неврологических осложнений у детей в возрасте до 7 лет [25]). Список неприятных ветряночных последствий дополняют мозжечковая атаксия (нарушение координации движений), менингит (воспаление оболочек головного и спинного мозга), бактериальные кожные инфекции. У взрослых наиболее частым осложнением после перенесенного заболевания становится пневмония (рис. 9) [24], [26]. А у детей с довольно высокой частотой развиваются осложнения со стороны кожных покровов и слизистых (около 65,5%) [27]. Ведь сыпь сопровождается сильным зудом, и перестать ее чесать не так уж просто! В редких случаях у пациентов в возрасте до 18 лет может наблюдаться развитие синдрома Рейе — острой энцефалопатии (невоспалительного заболевания головного мозга) с поражением печени. Как правило, такая патология появляется вследствие приема препаратов ацетилсалициловой кислоты (особенно аспирина) в качестве жаропонижающих и противовоспалительных средств для купирования симптомов лихорадки [28].
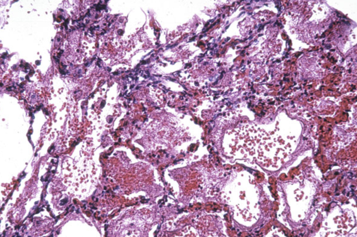
Рисунок 9. Кровоизлияние в альвеолах (маленьких пузырьках в легких, где происходит газообмен) при пневмонии, вызванной вирусом ветряной оспы.
Разумеется, осложнения возникают лишь в 5–6% случаев, но гарантий благоприятного течения болезни нет ни у кого [15]. Кроме того, заболевший ребенок может подарить вирусную инфекцию людям из групп риска, и тогда будет точно не до шуток. Ветрянка особенно опасна для подростков старше 14 лет и взрослых, которые ни разу ей не болели. В группе повышенного риска находятся также беременные непривитые женщины, дети, рожденные от матерей, переболевших ветряной оспой в течении 5 дней до родов и в период 2 дней после, в том числе недоношенные дети (родившиеся до 28 недель). Пациенты с врожденными и приобретенными иммунодефицитами, с онкологией также подвержены очень большой опасности при заражении [2]. Поскольку универсального лекарства для лечения ветрянки не разработали, защита уязвимых пациентов становится крайне важной задачей.
«Предотвратить и обезвредить»: оружие против ветрянки
Рисунок 10. Вирусолог Митиаки Такахаси.
Еще великий русский ученый Илья Ильич Мечников в свое время сказал: «Чем более подвигается наука в изучении причин болезни, тем более выступает то общее положение, что предупреждать болезни гораздо легче, чем лечить их». Ответ оказался на поверхности — нужна вакцина! Долгое время ученые пытались отыскать заветный ключик к созданию такого препарата. Но на пути исследователей одно за другим возникали ограничения. В первую очередь, из-за того, что вирус оказался термолабильным (неустойчивым к повышению температуры среды), а высокое сродство к клеткам человека делало выделение вирусных частиц очень сложной задачей. Вне клетки-хозяина частицы патогена сохраняли активность лишь 24 часа [2]. Разрешить противоречия решился японский ученый, вирусолог Митиаки Такахаси (рис. 10), сотрудник Научно-исследовательского института микробных заболеваний Университета Осаки [29].
Сфера его научных интересов простиралась в области разработки «живых» вакцин против полиомиелита и кори. Однако в 1964 году произошло событие, заставившее ученого сменить вектор научных изысканий: его трехлетний сын заболел ветрянкой [29]. Вопреки бытовавшему мнению о том, что ветряная оспа в детском возрасте протекает легко, у ребенка развилась тяжелая форма заболевания:
Симптомы быстро прогрессировали. У него поднялась температура и начались проблемы с дыханием. Он был в ужасном состоянии, и все, что мы с женой могли сделать, это присматривать за ним днем и ночью. Мы не спали. Он казался таким больным, что мы беспокоились, чем все может закончиться
Поскольку на тот момент специальных средств для лечения ветрянки не существовало, Митиаки Такахаси задумался о создании вакцины. Но для этого необходимо было засечь патогена с поличным на месте преступления. Такой случай представился: мальчик по фамилии Ока заболел ветрянкой, и из пузырьков на коже врачи отобрали жидкость, в которой, разумеется, находился дикий тип вируса ветряной оспы. В честь маленького пациента выделенный родительский штамм впоследствии и получил свое название.
Такахаси предстояло решить сложную задачу — ослабить вирус и заставить его играть по определенным правилам. Проще говоря, сделать так, чтобы ослабленная инфекция при попадании в организм лишь тренировала иммунную систему в ходе тесного знакомства, но не вызывала серьезного заражения. Для этого ученый провел серию многократных экспериментов (пассажей) по выращиванию вирусных частиц сначала в клетках легких эмбриона человека, а затем в фибробластах (клетках соединительной ткани) эмбриона морской свинки. Дело в том, что клетки морской свинки, пусть и не так выраженно, как человеческие, но все же восприимчивы к вирусным частицам. Попав в культуру таких клеток, патоген в течении нескольких поколений вынужден адаптироваться под нового хозяина. В результате в его геноме происходят мутации, которые делают вирус неопасным для человека. Конечно же, изменения происходят не во всех участках генетической последовательности, то есть у ослабленного вируса сохраняется способность вызывать полноценный иммунный ответ [30].
Чтобы частицы вируса не забывали своего первоначального хозяина, Такахаси перенес вирусные частицы в культуру клеток WI-38 и далее в клетки MRC-5 (Medical Research Council cell strain 5), где они в течение нескольких циклов культивирования продолжали «ослабевать» [29]. Кстати, обе клеточные линии были получены еще в начале 1960-х годов из фибробластов человека, с той лишь разницей, что клетки WI-38 выделены от эмбриона женского пола, а MRC-5 — мужского. Уже тогда эти клетки нашли широкое применение в вакцинах от кори, краснухи и прочих болезней, так что вирусолог решил использовать знакомые ему не понаслышке компоненты в своих разработках. После долгой и кропотливой работы в 1970 году заветная вакцина была получена. Содержащийся в ней ослабленный вирус представлял собой уже измененный вариант дикого типа, содержащий несколько генотипов возбудителя ветряной оспы. Забегая вперед, по данным современных исследований, эти различия клинически не значимы и не влияют на эффективность препарата [11].
Однако на этом история не закончилась, потому что ученому предстояла куда более сложная битва — с предрассудками со стороны общественности и системы здравоохранения. И здесь, как это обычно случается в жизни, ключевую роль сыграла случайность. В 1974 году в педиатрическом отделении больницы Чуке (Нагоя, Япония) маленький пациент, страдающий нефрозом (болезнью почек), заразился ветряной оспой. Действовать нужно было незамедлительно, потому что в палатах лежали дети, еще не болевшие ветрянкой и не имевшие к ней иммунитета. Единственно возможным решением стала вакцинация, которая помогла предотвратить распространение ветрянки — впоследствии никто не заболел [29].
Рисунок 11. Доктор Митиаки Такахаси делает прививку от ветряной оспы ребенку-добровольцу.
Рисунок 12. Постер CDC об иммунизации против ветряной оспы.
Через 2 года ситуация повторилась, только сценарий развития болезни имел куда более серьезные последствия: ветрянку обнаружили у маленького пациента с лейкозом (раком крови). Напомню, что при онкологии ветрянка развивается в крайне тяжелой форме и приводит к серьезным осложнениям, а иногда — и к смерти. Поскольку заболевший лежал в палате с другими детьми, страдающими от онкологических патологий и аутоиммунных болезней, необходимо было срочно принять меры по предотвращению заражения. И здесь вакцина также показала себя во всей красе и помогла защитить и без того ослабленный иммунитет маленьких пациентов. Таким образом, удалось продемонстрировать всему миру эффективность и безопасность препарата! В результате в 1985 году Всемирная организация здравоохранения признала штамм Oka лучшим для производства живой ослабленной вакцины против ветряной оспы. В 1986 вакцину ввели в массовый оборот в Японии, а уже в 1987 году была начата добровольная однократная вакцинация детей в возрасте от 1 года и старше. Начиная с 1995 года, вакцинация от ветряной оспы была одобрена в США (рис. 12) [11], [29].
Разумеется, у живой вакцины всегда находились и до сих пор находятся противники: многие люди уверены, что ослабленный вирус в препарате способен вызвать самую что ни на есть настоящую ветряную оспу. С момента получения лицензии на использование ослабленной живой вакцины против ветрянки в 1995 году по всему миру в массовый оборот попало свыше 150 миллионов доз. И за все время наблюдений выявлено лишь 11 случаев передачи инфекции другим лицам [31]. Для того, чтобы вакцинный вирус проник к другому восприимчивому человеку, у привитого в качестве осложнения на препарат должна появиться обширная сыпь. Чем больше пузырьков на коже, тем выше риск передачи инфекции [32]. Важно понимать, что появление высыпаний на туловище в течение 14 дней после прививки может быть связано не с введением вакцины, а с наличием прорывной ветряной оспой дикого типа. Иначе говоря, вакцинация от ветрянки в таких случаях совпадает с инкубационным периодом заболевания, когда основные симптомы еще не успели появиться. Поскольку установить природу непонятной сыпи зачастую не представляется возможным, производители вакцин рекомендуют воздержаться от контактов с восприимчивыми лицами — беременными женщинами и пациентами с ослабленным иммунитетом.
С момента введения программ по иммунизации населения от ветряной оспы заболеваемость заметно пошла на убыль. Так, в Соединенных Штатах число случаев заражения ветрянкой снизилось на 85%, а смертность — на 97%, в том числе среди подростков и взрослых [14]. Благодаря разработке препарата удалось спасти жизни миллионам людей, для которых заболевание могло оказаться фатальным. В 2022 году в дань памяти подвигу японского вирусолога в день 94-летия со дня его рождения корпорация Google выпустила памятную тематическую открытку (рис. 13).
Рисунок 13. Тематическая открытка-рисунок в память о заслугах вирусолога Митиаки Такахас.
Начиная с 90-х годов прошлого столетия, фармацевтические компании приступили к полномасштабной наработке препарата на основе штамма Oka. Из всех стран только в Корее используется альтернативный вариант — штамм ослабленного вируса ветряной оспы MAV/06, разработанный в 1993 году [31], [33]. В зависимости от используемого оборудования и технологии, полученные штаммы несколько отличаются на каждом производстве, о чем свидетельствую разные дозировки для вакцин (табл. 1). Но пугаться не стоит: все одобренные для производства препараты прошли необходимые этапы исследований свойств эффективности и безопасности.
Сегодня вакцины используются более чем в 80 государствах (рис. 14). В нашей стране из всех существующих препаратов доступны вакцины Варилрикс (Varilrix) и Приорикс-Тетра (Priorix-Tetra). Такой ограниченный набор обусловлен тем, что прививка от ветрянки в России пока что не является обязательной.
Рисунок 14. Страны, в которых вакцинация от ветряной оспы включена в программы по иммунизации населения.
| Штамм вируса ветряной оспы | Название препарата | Производитель | Дозировка, БОЕ | Доступность в России |
|---|---|---|---|---|
| Монокопмпонентные вакцины | ||||
| Oka/Merck MRC-5 | Varivax | Merck & Co. Inc. (США) | ≥1350 | — |
| Oka | Varilrix | GlaxoSmithKline Biologicals SA (Бельгия) | ≥1995 | + |
| Oka/Biken | Okavax | Sanofi Pasteur (Франция) | ≥1000 | — |
| MAV/06 | SuduVax | Green Cross (Южная Корея) | ≥1400 | — |
| MAV/06 MRC-5 | BARTCELA | Green Cross (Южная Корея) | ≥3800 | — |
| Oka | Vari-L | ChangChun Keygen Biological Products co. (Китай) | ≥1995 | — |
| Oka/SK MRC-5 | SKYvaricella | SK Bioscience (Южная Корея) | ≥2400 | — |
| Поликомпонентные вакцины | ||||
| Oka | ProQuad | Merck & Co. Inc. (США) | — | — |
| Oka | Priorix-Tetra | GlaxoSmithKline Biologicals SA, Бельгия | — | + |
БОЕ — бляшкообразующие единицы, мера количественной оценки в вирусологии, соответствующая способности живых вирусных частиц образовывать «бляшку» на питательной среде. |
||||
Как работает вакцина?
Основу большей части современных вакцин от ветряной оспы по-прежнему составляют живые ослабленные (аттенуированные) штаммы Oka VZV — далекие правнуки дикого типа. При попадании в организм человека такие вирусы активируют гуморальный и клеточный иммунитет. В первом случае начинается выработка антител — иммуноглобулинов класса G (IgG), а во втором — активация типичных при заражении ветрянкой Т-лимфоцитов (CD4+ и CD8+). Подобным образом организм тренируется распознавать врага и выстраивать оборону против него. Продолжительность защитного действия препарата до сих пор неизвестна, однако ряд испытаний эффективности показал, что вакцина может обеспечивать постоянную защиту в течение примерно 10–20 лет после прививки. О точных цифрах говорить пока что сложно, потому как период наблюдения за привитыми еще незначительный, всего лишь около 30 лет. А должен составлять как минимум среднюю продолжительность человеческой жизни!
Согласно исследованиям, у тех людей, кто делал только 1 прививку, рецидивы ветрянки (если быть точными, «прорывной ветряной оспы» — легкой формы болезни, которая протекает быстрее) возникали в 3,3 раза чаще, нежели у пациентов, которым вводилось 2 дозы вакцины [34], [35]. При этом титр антител сохранялся в течение как минимум 10 лет после двукратной иммунизации. Считается, что эффективность 1 дозы вакцины по приблизительным оценкам составляет порядка 76%, в то время как при введении 2-ой дозы препарата — возрастает до 98%, на фоне снижения риска развития тяжелых форм заболевания в 100% случаев (рис.15) [31]. По этой причине в программах коллективной иммунизации многих стран, начиная с 2006 года, предусмотрены 2 дозы вакцины от ветряной оспы.
Рисунок 15. Статистика Центра по контролю и профилактике заболеваний по заболеваемости ветряной оспой в 4 штатах в период 1990–2014 годах и эффективности вакцинации.
К сожалению, вакцина разрешена не всем. Пациентам с первичным иммунодефицитом (в частности, с дефектами антител, врожденного иммунитета, системы комплемента и пр.), ВИЧ-инфекцией, онкологическими заболеваниями, а также тем, кто получает химиотерапию, лучевую терапию и/или иммуносупрессивную терапию (лекарства, подавляющие иммунную систему) вводить препарат с ослабленным вирусом крайне опасно. Поэтому риски заразиться ветрянкой для таких людей очень существенны, а последствия болезни могут и вовсе оказаться фатальными, в особенности, когда инфекция подкрадется в зрелом возрасте. Единственно возможным спасением может стать отсутствие заболевания как такового у ближайшего окружения. И наиболее безопасным вариантом представляется именно вакцинация, а не заражение болезнью окружающих с целью получить иммунитет.
В извечном поиске способов борьбы с болезнью со взрослым характером ученые пока что не нашли полноценных ответов на вопросы, раскрывающие особенности неприличного поведения вируса. Вероятно, исследователям предстоит немалое количество изысканий, чтобы добраться до истины и придумать чудо-таблетку, которая сражала бы вирус наповал. Однако не будем забывать великую классику: недаром в знаменитой пьесе А.П. Чехова «Вишневый сад» говорится: «Если против какой-нибудь болезни предлагается очень много средств, то это значит, что болезнь неизлечима». Напротив, от ветрянки пока что нет лекарств, но есть вакцина. Наравне с учеными, которые вступают в битву с вирусом на поприще науки, перед простыми обывателями встает не менее важная задача — обеспечить жизнь без болезней, в особенности тех, которые не поддаются лечению и могут привести к смерти. И если в ближайшем будущем охваты вакцинацией населения увеличатся, есть основания полагать, что распространенность ветрянки постепенно снизится. Быть может, тогда у человечества появится шанс на извилистом пути к победе над этой, пусть и не всегда смертельной, но все же малоприятной болезнью.
Литература
- Wei Wang, Qingbing Zheng, Dequan Pan, Hai Yu, Wenkun Fu, et. al.. (2020). Near-atomic cryo-electron microscopy structures of varicella-zoster virus capsids. Nat Microbiol. 5, 1542-1552;
- Saleh H., Kumar S. Varicella-Zoster Virus (Chickenpox). Treasure Island: StatPearls Publishing, 2025;
- Jiaofeng Huang, Yinlian Wu, Mingfang Wang, Jiaji Jiang, Yueyong Zhu, et. al.. (2022). The global disease burden of varicella‐zoster virus infection from 1990 to 2019. Journal of Medical Virology. 94, 2736-2746;
- Freer G., Pistello M. (2018). Varicella‐zoster virus infection: natural history,clinical manifestations, immunity and current and future vaccinationstrategies. New Microbiol. 41, 95–105;
- Оспа — забытая победа (небольшой эпидемиологический детектив);
- Takeshi Saraya, Manami Inoue, Hajime Takizawa, Hajime Goto. (2013). Varicella-zoster Virus Pneumonia in an Immunocompetent Patient. Intern. Med.. 52, 1003-1003;
- Heberden W. On the Chicken-pox. Medical transactions published by the Royal College of Physicians in London.London: Printed for J. Dodsley, P. Embly, and Leigh and Sotheby, 1768. 427–436;
- Roland Zell, Stefan Taudien, Florian Pfaff, Peter Wutzler, Matthias Platzer, Andreas Sauerbrei. (2012). Sequencing of 21 Varicella-Zoster Virus Genomes Reveals Two Novel Genotypes and Evidence of Recombination. J Virol. 86, 1608-1622;
- Полиомиелит: убийца из XX века;
- Leigh Zerboni, Nandini Sen, Stefan L. Oliver, Ann M. Arvin. (2014). Molecular mechanisms of varicella zoster virus pathogenesis. Nat Rev Microbiol. 12, 197-210;
- Hongjing Liu, Lingyan Cui, Sibo Zhang, Hong Wang, Wenhui Xue, et. al.. (2025). Research Progress on Varicella-Zoster Virus Vaccines. Vaccines. 13, 730;
- . (2015). Etymologia: Varicella Zoster Virus. Emerg. Infect. Dis.. 21, 698-698;
- Kerry J Laing, Werner J D Ouwendijk, David M Koelle, Georges M G M Verjans. (2018). Immunobiology of Varicella-Zoster Virus Infection. The Journal of Infectious Diseases. 218, S68-S74;
- Charles Grose, Erin Buckingham, John Carpenter, Jeremy Kunkel. (2016). Varicella-Zoster Virus Infectious Cycle: ER Stress, Autophagic Flux, and Amphisome-Mediated Trafficking. Pathogens. 5, 67;
- Зотова А., Мурзина А., Семенова И., Свитич О. (2024). Механизмы влияния вируса ветряной оспы на иммунный ответ при инфицировании. Медицинский вестник. 133, 83–87;
- Isabelle Beach, Hana M. Dobrovolny. (2025). The Effect of Antibodies in the Presence of Syncytia During Viral Infections. Bull Math Biol. 87;
- Cristina Tommasi, Judith Breuer. (2022). The Biology of Varicella-Zoster Virus Replication in the Skin. Viruses. 14, 982;
- V. F. Lavrov, O. A. Svitich, A. S. Kazanova, A. R. Kinkulkina, V. V. Zverev. (2019). Varicella Zoster virus infection: immunity, diagnosis and modelling <i>in vivo</i>. Journal of microbiology, epidemiology and immunobiology. 96, 82-89;
- Николаева С. В., Погорелова О. О., Хлыповка Ю. Н., Горелов А. В. (2020). Вакцинопрофилактика ветряной оспы: актуальность проблемы. Медицинский совет. 10, 27–32;
- 12 методов в картинках: полимеразная цепная реакция;
- Anne A. Gershon, Judith Breuer, Jeffrey I. Cohen, Randall J. Cohrs, Michael D. Gershon, et. al.. (2015). Varicella zoster virus infection. Nat Rev Dis Primers. 1;
- Margarita Riera-Montes, Kaatje Bollaerts, Ulrich Heininger, Niel Hens, Giovanni Gabutti, et. al.. (2017). Estimation of the burden of varicella in Europe before the introduction of universal childhood immunization. BMC Infect Dis. 17;
- S. W. P. Lakmini Daulagala, Faseeha Noordeen. (2018). Epidemiology and factors influencing varicella infections in tropical countries including Sri Lanka. VirusDis.. 29, 277-284;
- Приходченко Н. Г. (2021). Инфекция, вызванная вирусом ветряной оспы: особенности течения, клинические проявления, осложнения и возможности профилактики. Терапевтический архив. 93, 1401–1406;
- N. I. Zryachkin, T. N. Buchkova, G. I. Chebotareva. (2017). COMPLICATIONS OF CHICKENPOX (LITERATURE REVIEW). test. 9, 117-128;
- Ali Akalin, Armando E. Fraire, Richard L. Kradin. (2014). Varicella Zoster Virus. Viruses and the Lung. 61-69;
- Скрипченко Е. Ю., Иванова Г. П., Скрипченко Н. В., Вильниц А. А., Пульман Н. Ф., Горелик Е. Ю., Фридман И. В. (2021). Современный взгляд на особенности течения ветряной оспы у детей и возможности специфической профилактики. Практическая медицина. 2, 8-13;
- Kathleen Dooling, Mona Marin, Anne A Gershon. (2022). Clinical Manifestations of Varicella: Disease Is Largely Forgotten, but It's Not Gone. The Journal of Infectious Diseases. 226, S380-S384;
- Takao Ozaki, Yoshizo Asano. (2016). Development of varicella vaccine in Japan and future prospects. Vaccine. 34, 3427-3433;
- Разработка вакцин: чем и как имитировать болезнь?;
- Anne A Gershon, Michael D Gershon, Eugene D Shapiro. (2021). Live Attenuated Varicella Vaccine: Prevention of Varicella and of Zoster. The Journal of Infectious Diseases. 224, S387-S397;
- Mona Marin, Jessica Leung, Anne A. Gershon. (2019). Transmission of Vaccine-Strain Varicella-Zoster Virus: A Systematic Review. Pediatrics. 144;
- Young Hwa Lee, Young June Choe, Jia Lee, Eunseong Kim, Jae Young Lee, et. al.. (2022). Global varicella vaccination programs. Clin Exp Pediatr. 65, 555-562;
- Sandra S. Chaves, Paul Gargiullo, John X. Zhang, Rachel Civen, Dalya Guris, et. al.. (2007). Loss of Vaccine-Induced Immunity to Varicella over Time. N Engl J Med. 356, 1121-1129;
- Dana Perella, Chengbin Wang, Rachel Civen, Kendra Viner, Karen Kuguru, et. al.. (2016). Varicella Vaccine Effectiveness in Preventing Community Transmission in the 2-Dose Era. Pediatrics. 137.
Комментарии
Раньше здесь был блок с комментариями. Но потом сервис Disqus, на котором они работали и за который мы платили, перестал открываться из РФ.
Когда появится возможность, мы вернём комментарии уже на внутреннем движке, а чтобы это произошло быстрее —
Оставьте донат 💚