Подписаться
  • Зоопарк в моем животе Обзор
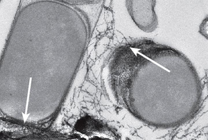
    Иммунология Медицина Микробиология
    Зоопарк в моем животе
    7302 3,4
    В вашем организме живет столько же бактерий, сколько и ваших собственных клеток тела. А пищеварительная система — особенно благоприятное место для бактерий — буквально ими набита. Но бактериями наш портативный микробиологический музей не ограничен: в организме постоянно проживает огромное разнообразие вирусов, архей, грибков и простейших. Но не торопитесь проводить дезинфекцию: микробиом — абсолютно необходимая часть организма здорового человека, без которой мы бы не смогли питаться многими продуктами, страдали бы из-за проблем с иммунитетом, а также от множества инфекций, которые обычно обходят нас стороной. Давайте же узнаем побольше о наших микроскопических соседях, которые почти бескорыстно делают жизнь каждого человека приятнее.
    4 Юлия Кондратенко 19 января 2016
  • Лекарство от депрессии: как электричество разгоняет тоску Обзор
    Депрессия Нейробиология Этология
    Лекарство от депрессии: как электричество разгоняет тоску
    2936 1,4
    Ввод слова «антидепрессанты» в строку поиска дает более 3,5 млн результатов. И по праву: депрессия — не просто модное слово, которым часто объясняют упадок настроения. Это серьезное психическое расстройство, способное привести к значительному нарушению функций организма и поведения, а иногда — к суициду. Неужели депрессия действительно стала болезнью 21 века, и если да — то как можно с ней справиться? Ответить на этот вопрос поможет исследование австралийских ученых.
    0 Анна Гобова 13 января 2016
  • SciNat за январь 2016 #1: бактериальная наноброня для «фотосинтеза», роль гистонов в судьбе муравья, CRISPR/Cas9 против мышечной Дайджест
    Биология
    SciNat за январь 2016 #1: бактериальная наноброня для «фотосинтеза», роль гистонов в судьбе муравья, CRISPR/Cas9 против мышечной
    317 0,2
    Морозы и праздники — не повод задерживаться в научном анабиозе, тем более что на этой неделе что ни статья, то полезное или просто интересное открытие. Первого января нового года вышел очередной выпуск Science, в котором рассказывается о соединении миров органики и неорганики для получения энергии, о том, как определяется кастовая принадлежность муравья-древоточца на уровне ДНК, об успехах технологий редактирования геномов в борьбе с наследственными заболеваниями и о том, как диета отцов влияет на здоровье детей. Nature пока на каникулах, его новый выпуск ожидается в среду.
    0 Светлана Ястребова 05 января 2016
  • «Бластим». Работа в биотехе? Да еще и в России? Обзор
    Биология Биотехнологии Карьера Места
    «Бластим». Работа в биотехе? Да еще и в России?
    3088 1,4
    «Бластим» — это не просто кадровое агентство. Это агентство в биотехе, да еще и в России! Мы помогаем биотехнологическим компаниям найти сотрудников, а соискателям — найти работу на доске вакансий. Организуем интенсивы по биоинформатике. Знаем сами и расскажем вам: где работать в биотехе, где этому учиться, у кого просить деньги для стартапа, как найти сотрудника и в кого инвестировать. Верим: биотеху в России быть!
    2 Юрий Пеков 30 декабря 2015
  • Хит-парад статей 2015 года: ремонтируем ДНК и стереотипы с «Биомолекулой» Новость
    Биология Итоги года Медицина
    Хит-парад статей 2015 года: ремонтируем ДНК и стереотипы с «Биомолекулой»
    980 0,5
    Минувший год оказался очень плодотворным для нашего портала: вместе с вами, дорогие читатели, мы побили кучу рекордов — и по объему опубликованного материала, и по количеству посетителей, и по масштабу ежегодного конкурса научно-популярных работ. И следуя доброй традиции уважаемых научных изданий, мы решили подвести итоги рабочего года публикацией топа «биомолекулярных» статей, особенно рекомендуемых к прочтению.
    0 Ольга Волкова 29 декабря 2015
  • Важнейшие биологические события 2015 года по версии Nature и Science Новость
    Биология Вирус Эбола Итоги года Медицина
    Важнейшие биологические события 2015 года по версии Nature и Science
    2113 1,1
    Итак, 2015-й год закончился. За его 365 дней мы узнали: на Марсе есть очень солёная жидкая вода, в реку одного психологического исследования нельзя зайти дважды (в смысле, один и тот же эксперимент у разных исследователей даёт неодинаковые результаты), Эйнштейн зря так выступал против взаимодействия далёких друг от друга элементарных частиц, а с глобальным потеплением нужно бороться ещё усерднее. Кроме того, человечество поставило всепланетный рекорд по числу авторов одной научной статьи (5154, Карл!) и весьма неплохо сфотографировало Плутон. Но всё это не имеет отношения к любимой науке «Биомолекулы» — биологии. Так что в этой статье мы разберём только те события года по версии Science и Nature, которые относятся к области life sciences.
    2 Светлана Ястребова 28 декабря 2015
  • Фемтосекундные рентгеновские лазеры — кристаллография будущего Обзор
    Биомолекулы Биофизика Вирусология Структурная биология
    Фемтосекундные рентгеновские лазеры — кристаллография будущего
    2390 1,1
    Метод рентгеноструктурного анализа до сих пор является «золотым стандартом» в исследовании пространственной организации биополимеров, в частности белков. Несмотря на это, он не лишен существенных недостатков и ограничений: необходимые кристаллы трудно получать, кристаллизуемые молекулы обычно помещают в условия, далекие от таковых в клетке (температура, ионная сила и т. п.), получаемая структура зачастую является «средним по палате», а информация о подвижности молекул и вовсе напрямую недоступна. Однако новые фемтосекундные рентгеновские лазеры сулят истинный переворот в области структурной биологии. Возможно, в скором будущем кристаллизовать и вовсе не придется, а исследователи будут снимать «кино» про единичные молекулы с атомарным разрешением.
    0 Антон Полянский 25 декабря 2015
  • Между бактериями и археями, окисляющими метан, обнаружена «электропроводка» Новость
    Микробиология Экология
    Между бактериями и археями, окисляющими метан, обнаружена «электропроводка»
    923 0,4
    Чтобы окислять метан, бактериям и археям приходится объединять усилия. Два разных организма проводят необходимые для этого процесса реакции. Из одной стадии в другую, от археи к бактерии должны течь электроны, но до сих пор не было понятно, как именно микроорганизмы их друг другу передают. Теперь выяснилось, что напрямую — по своеобразным биопроводам.
    2 Юлия Кондратенко 22 декабря 2015
  • Невролог, открывший путь к витаминам: Христиан Эйкман Обзор
    Медицина Метаболизм Нобелевские лауреаты
    Невролог, открывший путь к витаминам: Христиан Эйкман
    3098 1,4
    Удивительное дело: пять из пяти коллег, которым я рассказывал, что начал работу над статьей о нашем сегодняшнем герое, спрашивали меня — кто таков? И никак не реагировали на его фамилию. Зато когда я рассказывал суть его главного эксперимента, сразу же вспоминали: «А... ну так это я знаю...» Собственно говоря, и сам автор статьи оказался в такой ситуации — историю главного открытия нобелевского лауреата 1929 года он знал еще в школе (благо, хорошая была школа), а вот имя выветрилось за десятилетия. Еще одно удивляет: вещество, которое принесло ему славу, наш герой не открыл. Название ему дал не он, выделил — тоже не он. Даже предположение о его существовании, кажется, выдвинул сотрудник. А «нобеля» получил он — голландец Христиан Эйкман. И нельзя сказать, что не заслуженно. Формулировка Нобелевского комитета: «за его открытие антиневритного витамина».
    11 Алексей Паевский 20 декабря 2015
  • Успех в борьбе с лейкозом: на шаг ближе к клиническому применению геномного редактирования Новость
    Генная инженерия Генная терапия Иммунология Онкология
    Успех в борьбе с лейкозом: на шаг ближе к клиническому применению геномного редактирования
    1754 0,8
    Генетическую инженерию иммунных клеток успешно применили для борьбы с лейкозом. В этой статье рассказывается, какие генетические технологии помогут бороться с тяжелыми болезнями, если общество проникнется к передовым методикам бόльшим доверием.
    0 Юлия Кондратенко 15 декабря 2015